O-Wurf vom Osnabrücker Rad

Dackel Osnabrückvom Fuxerhof FCIvom Osnabrücker Radalle Würfe vom Osnabrücker RadKontakt

Kenia   Kenia Dakota
vom Osnabrücker Rad


Leistungszeichen:
BHP-G, BhFK95, Sfk, Sp/J, BhN(F), VP, Wa.T., SchwhK/40/J, StiJ,

Formwert:
V (V2)

Titel:
GS 2018

Besitzerin:
Sonja Zschaler
Manni  
Manni up Dirks Kamp

Leistungszeichen:
BHP-1, BhFK95/J,BhN(F)Dir, ESw,SauN,Schwhk/40,SchwhK/J, Sfk,Sp/J,StiJ/Dir, Vp/J, Wa.T.

Formwert:
V (V)

Titel:
GS 2017

Besitzerin:
Dana Schreiner


Am 17. April 2018 wurde Kenia Dakota vom Osnabrücker Rad von Manni up Dirks Kamp gedeckt.

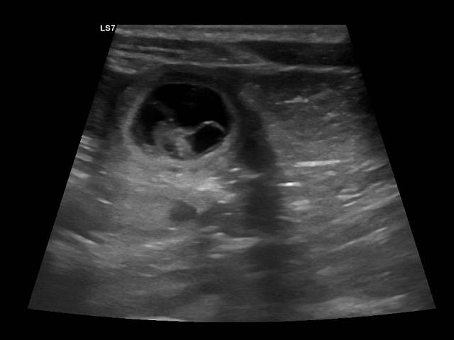
Die Ultraschalluntersuchung erfolgte am 15. Mai 2018. Danach könnte es sechs neue kleine Dackel geben.

Der errechnete Wurftermin ist der 18. Juni 2018.

Die Mädchen mussten sich erst schön machen. Daher die Verspätung von 4 Tagen.

Also der tatsächliche Geburtstermin ist also der 22. Juni 2018

Es wurden auch nicht sechs Welpen, sondern fünf.

Eine Ultraschallausfnahme ist eben keine Röntgenaufnahme. Da gibt es immer Überraschungen.

Wichtig ist nur, dass alle sechs (Mutter und Nachwuchs) die Geburt gut überstanden haben.



15. Mai 2018

UltraschallUltraschallUltraschall
UltraschallUltraschallUltraschall

Der zukünftige Nachwuchs !!!


Es ist so weit. Kenia mit ihren Kindern.

Zwei Buben und drei Mädel.

Kenia




Ganz aktuell ein Bildchen von der Jungdackelfütterung

Kenia Welpen


15. August 2018

fast Abschiedsfotos (dauert noch zwei Tage)

Dumper Probefahrt Dumper

Oskar
 

 Oskar

Rüde

Farbe: braun

Halsbandfarbe: braun

Oskar zieht nicht aus Osnabrück fort, er bleibt bodenständig.
Er muss nur in den Stadtbus einsteigen und nach 3 km wieder aussteigen.
Orion  

Otto

(ehemals Orion)

Rüde

Farbe: dunkel-saufarben

Halsbandfarbe: grün

Auch Otto bleibt bodenständig, also in Osnabrück und wird Beifahrer in einem alten Bundeswehr-Iltis aus dem Jahr 1980. Mit diesem und seinem Chef geht es dann ins Revier. Die Aufgabe wird sein Kirrungen zu bestücken, überall nach dem rechten sehen und viele andere Revierarbeiten überwachen.

Eben alles was ein Dackel bestens kann.

Olympia

Ondra

(ehemals Olympia)

Hündin

Farbe: dunkel-saufarben

Halsbandfarbe: weiß

Ondra wird Geburtstagsgeschenk und bekommt bestimmt dafür ein Schleifchen umgebunden.

Die zweite Aufgabe von Ondra wird aber sein in Preussisch Oldendorf einen gestandenen Dackelrüden namens Igo zu nerven.

Zumindest in der Anfangszeit.

Oceana

Oceana

Hündin

Farbe: dunkel-saufarben

Halsbandfarbe: orange

Oceana zieht nach Witten in einen Haushalt mit Kind und einer 5 Jahre alten Dackeldame.

Und sollte Oceana einmal Bauchschmerzen haben, ist das bestimmt nicht schön und wünschenswert.

Aber eines steht dann fest. Ihr wird sofort geholfen. Sie kann in ihrer neuen Familie auf eine kompetente Betreuung und auf einen 24stündigen tierärztlichen "Notdienst" zurück greifen.

Odette

Odette Olivchen

Hündin

Farbe: dunkel-saufarben

Halsbandfarbe: rot

Odette bleibt bodenständig und bleibt in der Nähe. Sie zieht nach Bramsche in einen Jägerhaushalt mit Tochter und einem Deutschen langhaarigen Vorstehhund (kurzform: Deutsch Langhaar).




24. Juli 2018

Chillen bei 36 Grad (aber mit neuen Halsbändern)

Oskar
 

Oskar

(ehemals Only You)

Rüde

Farbe: braun

Halsbandfarbe: braun

Orion  

Orion

Rüde

Farbe: dunkel-saufarben

Halsbandfarbe: grün

Olympia

Olympia

Hündin

Farbe: dunkel-saufarben

Halsbandfarbe: weiß

Oceana

Oceana

Hündin

Farbe: dunkel-saufarben

Halsbandfarbe: orange

Odette

Odette

Hündin

Farbe: dunkel-saufarben

Halsbandfarbe: rot




7. Juli 2018

Jetzt sehen wir euch auch !!!

Oskar
 

Oskar

(ehemals Only You)

Rüde

Farbe: braun

Gewicht: 514 g

Bändchenfarbe: braun

Orion  

Orion

Rüde

Farbe: dunkel-saufarben

Gewicht: 508 g

Bändchenfarbe: grün

0lympia

Olympia

Hündin

Farbe: dunkel-saufarben

Gewicht: 398 g

Bändchenfarbe: weiß

Oceana

Oceana

Hündin

Farbe: dunkel-saufarben

Gewicht: 427 g

Bändchenfarbe: orange

Odette

Odette

Hündin

Farbe: dunkel-saufarben

Gewicht: 443 g

Bändchenfarbe: rot




24. Juni 2018

Only you
 

Only You

Rüde

Farbe: braun

Geburtsgewicht: 203 g

Bändchenfarbe: braun

.Namenserklärung:
"Only Your" bekam gleich nach seiner Geburt seinen Namen.
Hier die ersten Zeilen des Songs der Gesangsgruppe "The Platters" von 1955.

Nur du,
kannst die Welt richtig erscheinen lassen ...

Passt also eigentlich zu jeden Dackel !!!
Orion  

Orion

Rüde

Farbe: dunkel-saufarben

Geburtsgewicht: 204 g

Bändchenfarbe: grün

Namenserklärung:
Der Orion ist ein markantes Bild von 2 Sternen am Winterhimmel und Teil des Oriongürtels.
In der Mythologie ranken sich viele Geschichten um Orion. Es geht um Liebe, Eifersucht und Missgunst.

Das Ergebnis ist aber immer gleich. Orion wird am Himmel verewigt.
0lympia

Olympia

Hündin

Farbe: dunkel-saufarben

Geburtsgewicht: 190 g

Bändchenfarbe: weiß

Namenserklärung:
Olympia ist die Göttin des Sports oder eben die Himmlische.

Dackel sind halt himmlisch.
Oceana

Oceana

Hündin

Farbe: dunkel-saufarben

Geburtsgewicht: 203 g

Bändchenfarbe: orange

Namenserklärung:
Oceana ist "nur" die französische Schreibweise von Ozean, aber auch ein Mädchenname.

Kleiner Dackel - großes Meer

Odette

Odette

Hündin

Farbe: dunkel-saufarben

Geburtsgewicht: 186 g

Bändchenfarbe: rot

Namenserklärung:
Wenn Odette ein Junge wäre, würde sie/er Otto heißen. Die Ableitung davon ist Oda und die französische Form davon eben Odette.

Odette bedeutet so viel wie "kleiner Besitz" oder vielleicht "kleiner Dackel".



zur gemeinsamen Startseite