A-Wurf vom Fuxerhof FCI

StartseiteRH vom Fuxerhof FCIRH vom Osnabrücker RadDK vom Fuxerhof FCIKontakt
 
Chara  
Chanel (Chara)
von der Belmer Kroneneiche

HSchwschl.

ZB-Nr.: 0050/23, gew. 30.10.2022

Leistungszeichen:
JK SG, BHP-G Tagessieger DTK 1888,
SL, SJ, HN, D1* (Andreas-Stern), S1J,
VGP 1 (346 Pkt., Totverbeller), IKP 2,
BTR, Vbr, VSwP 3, LN


Formwert:
V 1

Tiergesundheit:
HD A2, OCD-frei

Besitzer:
Benedikt Zschaler
Bandit  
Bandit vom Rimpaustein

Brschl. m. Pln 

ZB-Nr.: 0585/23, gew. 30.03.2023

Leistungszeichen:
D1 (4h Vorstehen), S1 (4h Vorstehen),
VGP 1 (349 Pkt., Totverbeller), SL, SJ,
BTR, HN, SG

Tiergesundheit:
HD A2, OCD-frei

Besitzer:
Andre Dierker




Am 3. März 2026 wurde Chara von der Belmer Kroneneiche von Bandit vom Rimpaustein gedeckt.

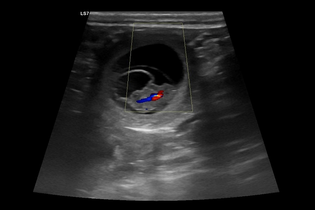
Die Ultraschalluntersuchung am 2
. April 2026 ergab, dass Chara tragend ist.

Chara Ultraschall

Um den 8. Mai herum erwarten wir leistungsstarke, wesensfeste und vielseitigveranlagte Welpen
aus bewährten Leistungs- und Arbeitslinien.

Ab jetzt heißt es aber erstmal "warten".


Die Welpen werden nur in Jägerhände abgegeben.


zur gemeinsamen Startseite



















































Panja mit ihren Welpen
(28. April 2025)

Panjas WelpenPanjas Welpen



HuHuuu
(11. Mai 2025)

Trude

reserviert

Trude
(ehemals Therese)

Hündin

Gewicht: 566 g

Farbe: braun

Halsbandfarbe: pink





.......................................................................
Tim

Tom

Rüde

Gewicht: 709 g

Farbe: (dunkel-)saufarben

Halsbandfarbe: grün

Tim

Tim

Rüde

Gewicht: 686 g

Farbe: (dunkel-)saufarben

Halsbandfarbe: gelb

Toni

reserviert

Toni

Rüde

Gewicht: 603 g

Farbe: (dunkel-)saufarben

Halsbandfarbe: blau

Twix

reserviert

Twix

Rüde

Gewicht: 500 g

Farbe: braun

Halsbandfarbe: grün

Till

Till

Rüde

Gewicht: 421 g

Farbe: (dunkel-)saufarben

Halsbandfarbe: orange




Der Nachwuchs
(28. April 2025)

Trude

Trude
(ehemals Therese)

Hündin

Geburtsgewicht: 197 g

Farbe: braun

Bändchenfarbe: pink

Namenserklärungen:
.
Therese > Die Wilde
Therese (Resi) war eine der letzten Nachkommen des Fuxerhofes
.
Trude > Die Starke
(muss gegen ihre 5 Brüder durchsetzen)
Tim

Tom

Rüde

Geburtsgewicht: 261 g

Farbe: (dunkel-)saufarben

Bändchenfarbe: grün


Namenserklärung:


Thomas wird bereits in der Bibel genannt. Eine Ableitung davonist Tom. In einer anderen Erklärung bedeutet der Name "Zwilling".

Aber Dackel reicht, zunächst einmal.
Tim

Tim

Rüde

Geburtsgewicht: 228 g

Farbe: (dunkel-)saufarben

Bändchenfarbe: gelb


Namenserklärung:

Tim leitet sich aus dem griechischem Wort Timotheus ab und heißt so viel wie "der Ehrende".

Oder vielleicht auch "der Zuehrende?"
Toni

Toni

Rüde

Geburtsgewicht: 210 g

Farbe: (dunkel-)saufarben

Bändchenfarbe: blau


Namenserklärung:

Toni ist eine Abform von Antonius
 
Der erste Welpe der vom Fuxerhof  war
vor 22 Jahren unser Antonius.

Tradition ist Tradition.
Twix

Twix

Rüde

Geburtsgewicht: 261 g

Farbe: braun

Bändchenfarbe: grün


Namenserklärung:

Als brauner Dackel frei nach dem braunen Schokoladenriegel "Twix" benannt.
Till

Till

Rüde

Geburtsgewicht: 172 g

Farbe: (dunkel-)saufarben

Bändchenfarbe: orange

Namenserklärung:

Für den Namen Till gibt viele Erkärungen.  Im Norddeutschen steht "Til" für gut und tüchtig.

Oder einfach nach Till Eulenspiegel: "Immer den Schalk im Nacken."



Eine entspannte Familie

(29. März 2024)

Panja



Sonne tanken

(22. April 2024)

Panja



Die letzte gemeinsame Nacht

(24. Mai 2024)

Letzte Nacht



Zur Abfahrt bereit

(23. Mai 2024)

Rinka

Rinka

(ehemals Resi)

Hündin

Gewicht: 1900 g

Farbe: braun

Halsbandfarbe: pink

Rinka zieht nach Melle in eine junge
Jägerfamilie, wird später Jagdhund und
muss zwischendurch Hühnerfutter
verkaufen.
RiaRia Finchen

Hündin

Gewicht: 2250 g

Farbe: braun

Halsbandfarbe: orange

Finchen zieht nach Menslage. Auf dem landwirtschaftliches Anwesen wird sie Begleiter von zwei Buben und einer
Deutschen kurzhaarigem Vorstehhündin.
RosinchenRosinchen

Hündin

Gewicht: 2050 g

Farbe: braun

Halsbandfarbe: gelb

Rosinchen wohnt weiterhin in Osnabrück.
In der dackelgewohnten Familie hat man
ganz einfach gestelllt, dass man ohne
Dackel nicht "kann".
RudiRudi

Rüde

Gewicht: 2800 g

Farbe: dunkel-saufarben

Halsbandfarbe: grün

Rudi zieht nach Bruchhausen-Vilsen in eine dackelgewohnte Familie.
 Verreisen kann er von dort mit der Zügen der Schmalspur-Museumseisenbahn oder mit einem Wohnmobil oder einem Wohnwagen.
Oder einfach nur mit einem Pkw.
RuffiRuffi

Rüde

Gewicht: 2650 g

Farbe: dunkel-saufarben

Halsbandfarbe: blau

Ruffi zieht als Ersthund nach Greven
in einen Jägerhaushalt. Um dann ein "brauchbarer" Jgdhund zu werden,
benötigt man natürlich eine fundierte Ausbildung.Dazu wird "Ruffi" in eine Ortsgruppe des DTK 1888 e.V. eintreten
Räuber JoschiRäuber Joschi

Rüde

Gewicht: 2300 g

Farbe: dunkel-saufarben

Halsbandfarbe: braun

Joschi zieht nach Voerde in einen dackelgewohnten Haushalt, wird in einer   Ortsgruppe des DTK in die Welpengruppe eintreten und danach die vielleicht jagdliche Anlagenprüfungen ablegen.



Baden gehen, Waden sehen ...
(12. Mai 2024)

Resi

Rinka

(ehemals Resi)

Hündin

Gewicht: 1500 g

Farbe: braun

Halsbandfarbe: pink

Ria

Ria Finchen

Hündin

Gewicht: 1800 g

Farbe: braun

Halsbandfarbe: orange

Rosinchen

Rosinchen

Hündin

Gewicht: 1600 g

Farbe: braun

Halsbandfarbe: gelb

Rudi

Rudi

Rüde

Gewicht: 2250 g

Farbe: dunkel-saufarben

Halsbandfarbe: grün

.
Ruffi

Ruffi

Rüde

Gewicht: 2150 g

Farbe: dunkel-saufarben

Halsbandfarbe: blau

Räuber

Räuber Joschi

Rüde

Gewicht: 1850 g

Farbe: dunkel-saufarben

Halsbandfarbe: braun




Wir schauen nach vorn ...
(15. April 2024)

Resi

Resi

Hündin

Gewicht: 545 g

Farbe: braun

Halsbandfarbe: pink

Ria

Ria

Hündin

Gewicht: 686 g

Farbe: braun

Halsbandfarbe: orange

Rosinchen

Rosinchen

Hündin

Gewicht: 523 g

Farbe: braun

Halsbandfarbe: gelb

Rudi

Rudi

Rüde

Gewicht: 730 g

Farbe: dunkel-saufarben

Halsbandfarbe: grün

.
Ruffi

Ruffi

Rüde

Gewicht: 805 g

Farbe: dunkel-saufarben

Halsbandfarbe: blau

Räuber

Räuber

Rüde

Gewicht: 778 g

Farbe: dunkel-saufarben

Halsbandfarbe: braun